Tooth Colored Fillings
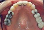
Inlays and onlays are tooth-colored restorations that are used in place of silver fillings on the chewing surfaces of back teeth. Unlike silver fillings made from metals that may cause further damage to teeth, these cosmetic fillings look extremely natural and typically require that far less of the tooth be removed.
SOMERSET SMILES
650 Easton Ave. • Somerset, New
Jersey 08873
Monday: 9am - 6pm
Tuesday: 9am - 6pm
Wednesday: Closed
Thursday: 12pm - 8pm
Friday: 9am - 4pm
Saturday: 9am - 12pm
Sunday: By Appointment Only
SOMERSET SMILES
650 Easton Ave. • Somerset, New Jersey 08873
(732) 374-3852Monday: 9am - 6pm
Tuesday: 9am - 6pm
Wednesday: Closed
Thursday: 12pm - 8pm
Friday: 9am - 4pm
Saturday: 9am - 12pm
Sunday: By Appointment Only